台中一名50歲林姓婦女在糞便潛血篩檢中呈現陽性反應,隨即至長安醫院肝膽腸胃科門診接受檢查。透過大腸內視鏡發現在乙狀結腸處有一個1.5公分大小的瘜肉。切片報告顯示為大腸原位癌,所幸及時切除乾淨,沒轉移到其它器官的風險。林女士直呼超幸運,還好有來做篩檢,一定會照醫囑定期回診追蹤。
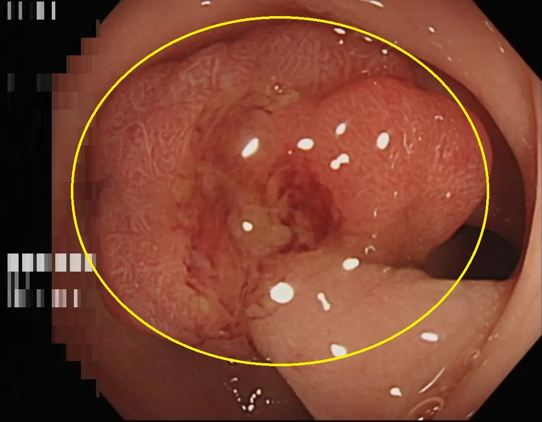
許鈺銓醫師表示,這位病患因為糞便潛血篩檢陽性反應前來就診,詢問病史及理學檢查並無其他異狀。但陽性反應意味著大腸內可能存在息肉或腫瘤,為確保安全,安排了大腸內視鏡檢查,最終發現在乙狀結腸處有一個1.5公分大小的瘜肉。當場進行了瘜肉切除手術,並安排後續回診。
兩週後,病理報告確認該瘜肉為黏膜內腺癌,俗稱大腸原位癌。許醫師解釋,原位癌是最早期的癌症,此時癌細胞僅存在於表層黏膜,尚未侵入其他組織。只要及早發現並切除,患者就能避免後續的開刀、化療等復雜治療。好消息是切除後檢查顯示瘜肉邊緣無殘存癌細胞,表示已清除乾淨,經過解釋及衛教,病患六個月後再接受大腸內視鏡追蹤即可。
許鈺銓醫師說,在台灣,大腸癌發生和死亡人數是國人第二大常見癌症和第三大致命癌症,它的可怕之處在於早期症狀並不明顯,許多患者往往等到食慾不振、體重減輕或排便習慣改變等時,癌症已經發展到中晚期。因此,定期篩檢非常重要,呼籲50歲以上的民眾應積極參與每兩年一次的免費糞便潛血檢查,特別是有大腸癌家族史的民眾,更應該加倍注意。
預防大腸癌,除了定期篩檢外,日常生活中的飲食習慣也扮演重要角色。許醫師提醒,保持均衡飲食,多攝取蔬菜水果,減少高溫油炸及紅肉類食品的攝入,並養成規律運動的習慣,這些措施都有助於降低大腸癌的風險。早期發現、早期治療是戰勝疾病的關鍵,預防永遠重於治療。

肝膽腸胃科許鈺銓醫師呼籲,50歲以上的民眾應每兩年一次做糞便潛血檢查,特別是有大腸癌家族史的民眾,更應該加倍注意。

大腸鏡檢查影像報告瘜肉(黃圈處)屬於原位癌,幸好僅存在於表層黏膜尚未擴散。